Ga direct naar de hoofdinhoud

Huidige Beeldvormingstechnieken

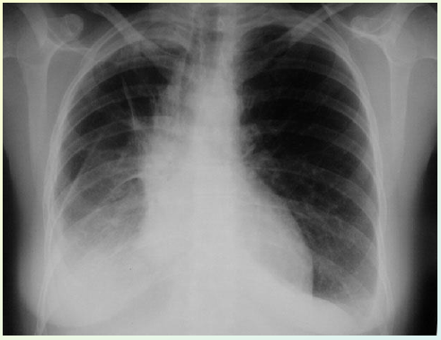
X-stralen beeldvorming

Dit is misschien wel de meest gekende vorm van medische beeldvorming en men benoemt dit vaak als: een foto nemen. Hier kan men ook verscheidene soorten onderscheiden:

  • Gewone radiografie: foto van meestal botstructuren
  • Mammografie
  • Tandheelkunde
  • Interventie radiologie
  • CT = Computed Tomography

Hoewel dit zeer veel informatie kan opleveren moet men hier voorzichtig mee zijn want de straling die deze foto's maakt (hoge energie) zijn schadelijk voor de mens en kan het DNA aantasten. Deze apparaten moeten dan ook dikwijls gecontroleerd worden door het FANC (=Federaal Agentschap voor Nucleaire Controle). 

Nucleaire medische beeldvorming

Bij deze techniek wordt een radioactief atoom aan een actieve molecule gekoppeld. Deze molecule gaat naar een specifiek stuk van het lichaam afhankelijk van hoe het lichaam op deze molecule reageert. Het radioactief element die aan deze molecule hangt noemt men een tracer. Het radioactief element vervalt onder natuurlijke vervaltijden. Als men dan de fotonen gaat waarnemen en achterhaalt waar de bron zich bevind, weet men waar de molecule zich bevind. Beeldvormingssystemen die deze techniek gebruiken zijn:

  • SPECT = Single Photon Emission CT
  • PET = Positron Emission Tomography

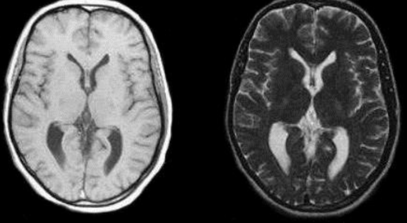
MRI = Magnetic Resonance Imaging

Deze techniek maakt gebruikt van een sterk magneetveld en radiostralen (niet-ioniserend) waarmee organen in het lichaam worden zichtbaar gemaakt. Dit gebeurt echter pixel per pixel, wat dit een heel tijdrovende manier maakt om het lichaam in kaart te brengen.

Hoewel MRI heel goede beeldkwaliteit vertoont en geen ioniserende straling gebruikt, kan men hier een aantal nadelen aan koppelen.

  • Door het grote magneetveld dat nodig is, is dit een zeer duur apparaat omdat men nood heeft aan supergeleidende magneten.
  • Doordat men pixel per pixel moet opnemen, duurt deze beeldvormingstechniek aanzienlijk langer dan bijvoorbeeld CT
  • Patiënten moeten voor lange tijd in een kleine opening liggen, wat voor patiënten met claustrofobie niet aangenaam, of zelfs onmogelijk is.

Echografie

De laatste techniek is echografie. Hierbij gebruikt men ultrasound. Zoals de naam al doet vermoeden gebruikt deze techniek geen enkele elektromagnetische straling en is dus niet schadelijk voor de mens. Wat men opneemt is de echo van het geluid als het geluid reflecteert op een densiteitsverandering. Zo goed als iedereen heeft al een echografie ondergaan, namelijk nog voor dat we zijn geboren.

Multimodal imaging

Bij multimodal imaging gaat men verschillende technieken combineren in een toestel. Een voorbeeld hiervan is PET/CT waar men zowel functionele als anatomische informatie wilt van het gebied waarin ze geïnteresseerd zijn. Tegenwoordig zijn ze op zoek naar andere technieken die men kan combineren om meer informatie te verkrijgen tijdens één scan.

Maak jouw eigen website met JouwWeb